![]() |
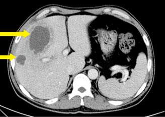
| △ 간에 고름이 찬 모습. 노란색 화살표 부위가 고름이다. |
"간에 고름차는 '간농양' 증가세…당뇨·고령이 요인"
강동경희대병원 분석결과, 예방법 없어 조기발견이 최선
(서울=연합뉴스) 김길원 기자 = 당뇨병 및 고령인구 증가와 관련성이 큰 '화농성 간농양' 환자가 꾸준히 증가하는 것으로 나타났다.
강동경희대병원 소화기내과 신현필 교수팀은 건강보험심사평가원 자료를 분석한 결과, 화농성 간농양 환자가 2009년 4천844명에서 2013년 6천485명으로 4년 사이 34% 증가했다고 31일 밝혔다.
간에 고름이 차는 간농양은 세균 감염에 의한 '화농성 간농양'과 기생충(아메바)에 의한 '아메바성 간농양'으로 나뉜다. 지금은 위생 상태가 좋아지면서 아메바성 농양은 거의 사라졌고, 우리나라에서 발생하는 간농양의 대부분은 화농성 간농양이다.
화농성 간농양은 다양한 연령대에서 발생하지만, 환자는 60세 전후에서 가장 많다. 환자의 상당수는 당뇨병 관리를 소홀히 하고 면역기능이 떨어져 있거나 담즙이 흐르는 담도를 종양이나 담석 등이 막고 있는 경우 등이다. 이런 경우 세균이 간을 이 감염될 수 있고 감염이 발생한 자리에 고름(화농성 간농양)이 생길 수 있다.
신현필 교수는 "최근 화농성 간농양 환자가 증가하는 것은 당뇨병의 증가, 고령화, 담도계 질환을 포함한 악성 질환의 증가와 관련이 있다"면서 "실제로 환자의 절반 이상은 당뇨병이나 담도계 질환을 가지고 있다"고 설명했다.
간에 고름이 찼을 때의 초기 증상은 발열과 오한, 피로 등으로 몸살과 비슷하다. 병이 진행됨에 따라 손으로 배를 눌렀을 때 통증을 느끼게 되지만 이를 환자 스스로 알아차리기는 쉽지 않다. 따라서 간담도 질환이나 당뇨가 있는 사람 중에 발열과 오한, 복통 등이 수일 동안 지속된다면 화농성 간농양을 의심해볼 필요가 있다. 간농양은 혈액검사와 초음파, 컴퓨터 단층촬영(CT) 등을 통해 진단된다.
이 질환은 환자의 상태와 병의 경과에 따라 차이가 있지만 농양의 크기가 작은 경우에는 항생제만으로 치료가 된다. 하지만 질환이 진행된 경우에는 피부를 통해 튜브를 넣어 농양을 빼내면서 항생제를 함께 써야 한다. 만약, 치료가 늦어지거나 늦게 발견하면 늑막에 염증이 생기거나 폐렴 등의 합병증을 동반할 수 있다.
신 교수는 "화농성 간농양은 아직까지 그 감염원인이 불명확해 특별한 예방법이 없다"면서 "과거에는 사망률이 높았고, 수술이 필요한 경우도 적지 않았지만 요즘은 항생제와 피부를 통한 배액술 등의 치료법으로 좋은 치료결과를 보이는 만큼 증상이 의심되면 빨리 병원을 찾는 게 바람직하다"고 권고했다.
[저작권자ⓒ 상주부자동네카임즈. 무단전재-재배포 금지]






































